名稱:rGB/QCS/PDA-PAM水凝膠
組成:還原氧化石墨烯、羧甲基殼聚糖、聚多巴胺、聚丙烯酰胺
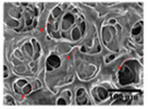
粒徑:孔徑20~50um
應用:高效抗菌的水凝膠敷料
儲存條件:-4℃
其他說明:密封狀態下保質期半年【主要優勢】1、rGB上的模擬糖萼的苯硼酸可以首先特異性捕獲水凝膠表面豐富的細菌;2、QCS刺穿被捕獲細菌的膜,rGB協同作用,在低溫下通過溫和的光熱效應達到高效的抗菌活性;3、PDA作為錨定柔性PAM鏈、rGB和QAS QCS的橋梁,以加強交聯網絡;4、多共價鍵和多非共價鍵使水凝膠敷料具有靈活的機械強度、較強的粘附性和良好的自愈性能,以適應高頻運動的動態創面。
題目:
Versatile Hydrogel Dressing with Skin Adaptiveness and Mild Photothermal Antibacterial Activity for Methicillin-Resistant Staphylococcus Aureus-Infected Dynamic Wound Healing
文章鏈接:
https://doi.org/10.1002/advs.202206585
留言咨詢
|
|
 |
| 生物納米材料前沿 |
 |
| 納米醫學Frontier |
|
溫馨提示:蘇州北科納米供應產品僅用于科研,不能用于人體,不同批次產品規格性能有差異。網站部分文獻案例圖片源自互聯網,圖片僅供參考,請以實物為主,如有侵權請聯系我們立即刪除。
提示說明:納米材料工藝和制備可能會有改變 所有納米材料均支持按需定制 下單前聯系客服確認產品詳細信息。 |